![]()
こんにちは!歯科衛生士の武内です。
11月になり、冬の気配を感じる今日この頃ですね。
今回はホワイトスポットの治療法について
お話ししていきたいと思います。
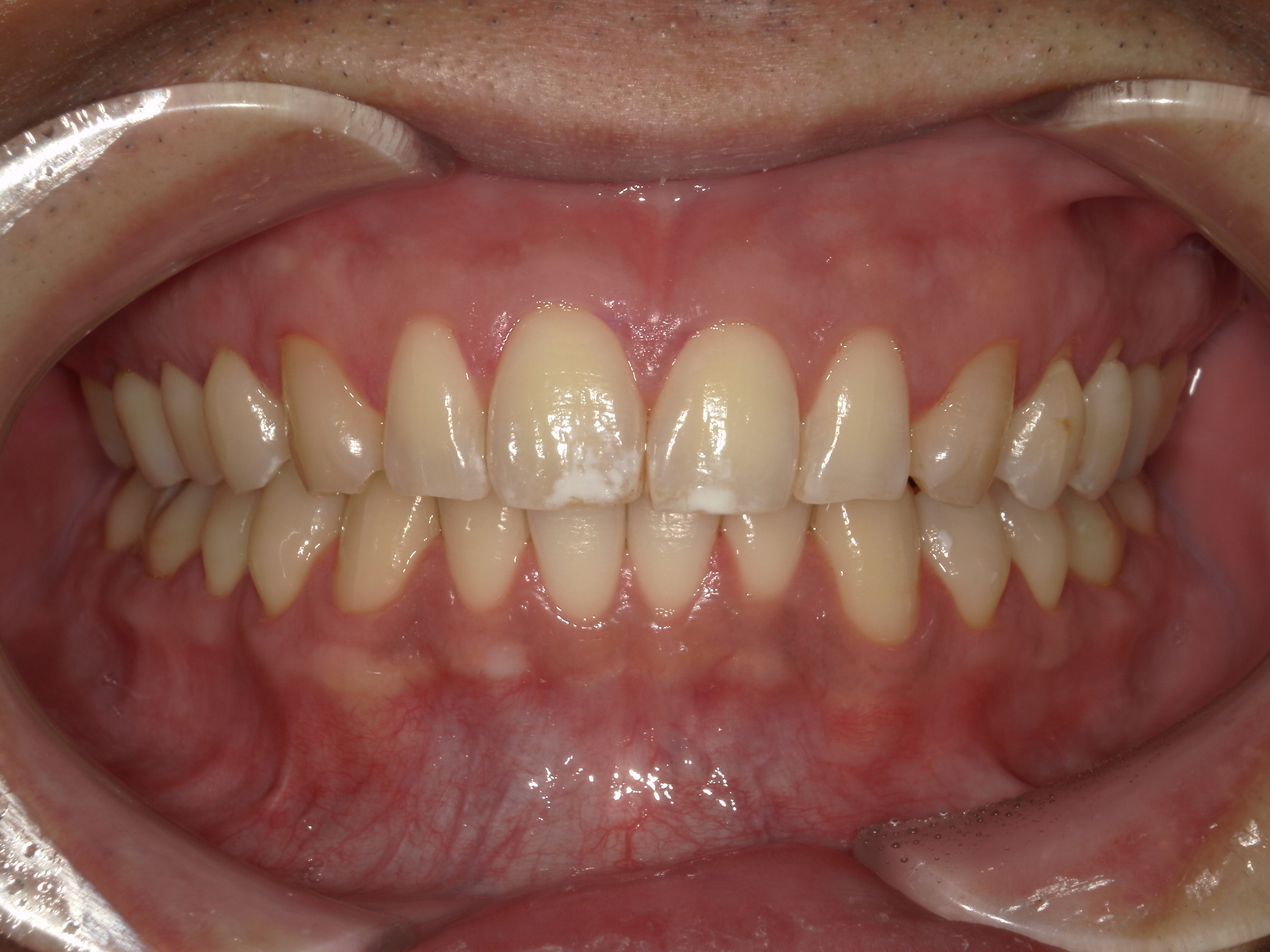
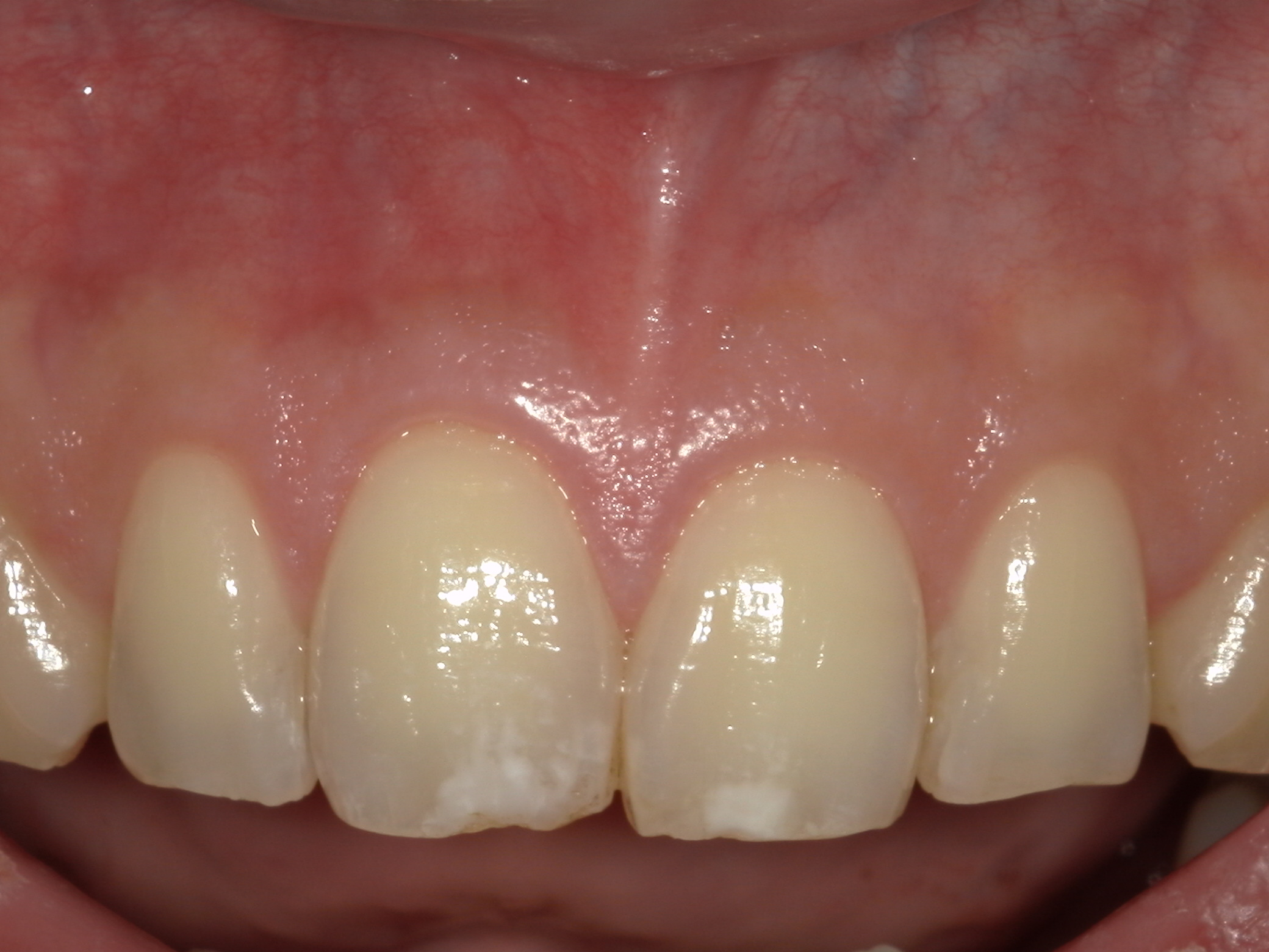
下の写真の歯のような白い模様をホワイトスポットや白濁と言います。

拡大してみます
↓

従来ですとこのホワイトスポットを削り部分的にレジンを詰める治療や、
広範囲ですと同じく歯を削りラミネートベニアという白い補綴物を貼りつける治療法が適応でした。
歯を削り人工物に置き換える治療法は再治療のリスクがゼロではないですし、
取れてしまう可能性もあります。
また、健康な天然の歯質を削ることは歯の寿命にも影響します。
しかし、新治療のIcon(アイコン)という治療法は
歯を削る事なく、樹脂を浸潤させる治療になります。
場合により一層わずかに研磨することはありますが、
その場合は従来の治療法より圧倒的に少なくすみます。
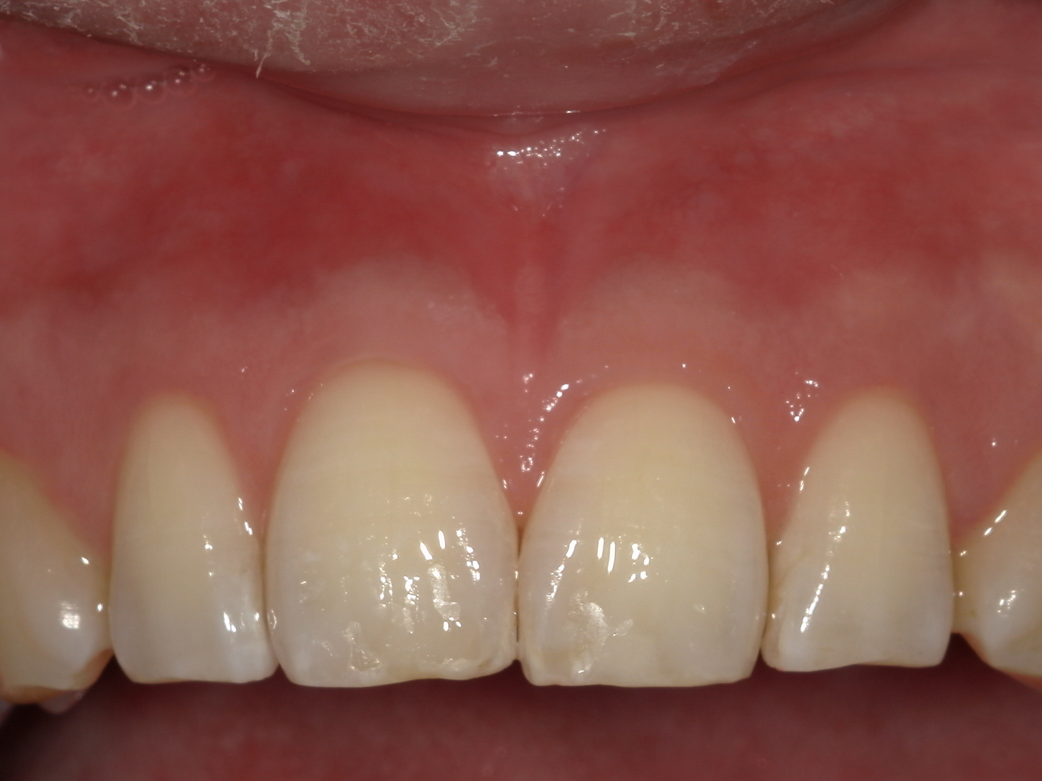
こちらが治療前後の写真になります。
↓

ほとんど目立たなくなり、ホワイトスポットがコンプレックスだった
こちらの患者さんに満足していただけました。
アイコンの欠点としては、
*比較的新しい治療法のため、長期間の予後が不明(海外の研究では10年間の経過は良好)
*保険適用外である
*ホワイトスポットの種類によっては改善しきらない可能性がある
以上のことが挙げられます。
当院では1歯¥30,000(+税)
複数歯(4歯以上)1歯¥20,000(+税)
で治療することができます。

歯を削らずに済むことは歯の寿命を伸ばすことにつながります。
まずは検診にてご相談ください。
![]()







