新型コロナウイルス対策のご案内
新型コロナウイルス対策のご案内
衛生設備について >
上記に加え、以下の新型コロナウイルス対策を実施しております。
来院時にはマスク着用・手指消毒・検温にご協力ください。
来院前に、のどの痛み・せき・息切れ・強いだるさ(倦怠感)などの症状がある方は、受付にお申し出ください。
また下記いずれかを満たす場合は、来院前に最寄りの保健所又は医科へご相談くださいますようお願いいたします。
詳しくはこちら >
全ての患者様が安心して受診できますよう、ご理解とご協力をお願い申し上げます。
武蔵野市の歯医者 吉祥寺ファースト歯科では、マイクロスコープでの精密治療や全顎治療を中心に、治療後は予防歯科として定期的なメインテナンスでお口の健康管理に取り組んでいます。地域に根づいた、最も上質=ファーストクラスの歯科医療で、患者さまのQOL(人生の質)に貢献してまいります。


武蔵野市吉祥寺本町の歯医者 吉祥寺ファースト歯科では、歯科用顕微鏡(マイクロスコープ)による録画システムを用いて、治療内容やお口の状態を写真・動画でご説明します。しっかり情報を共有することで、患者さまが治療について理解・納得した上で意欲的に取り組むことができます。
そのほかにも、ペン型口腔内カメラやカウンセリングソフトを用いてわかりやすい説明を心掛けています。

吉祥寺の歯医者 吉祥寺ファースト歯科では、単に悪いところを治すだけでなく、
治療が終わったあとも定期的なメインテナンスで予防・健康管理を行い、
生涯、健やかなお口でいられるようサポートしていきます。
吉祥寺ファースト歯科では、障害や持病等の理由で通院が困難な方を対象に、ご自宅や入居施設で歯科治療やリハビリを行う「訪問歯科」に対応しています。
詳しくはお気軽にお問い合わせください。
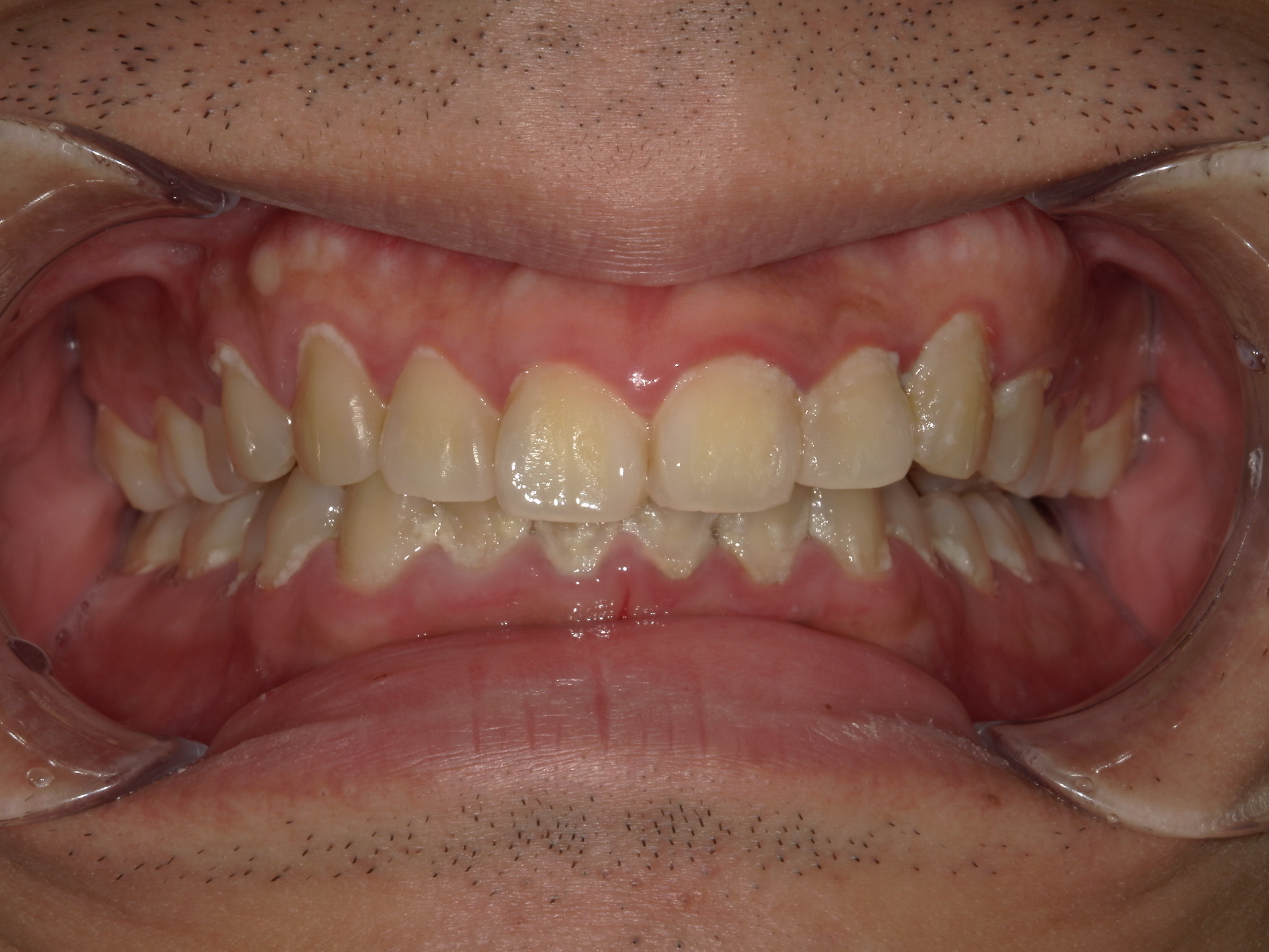
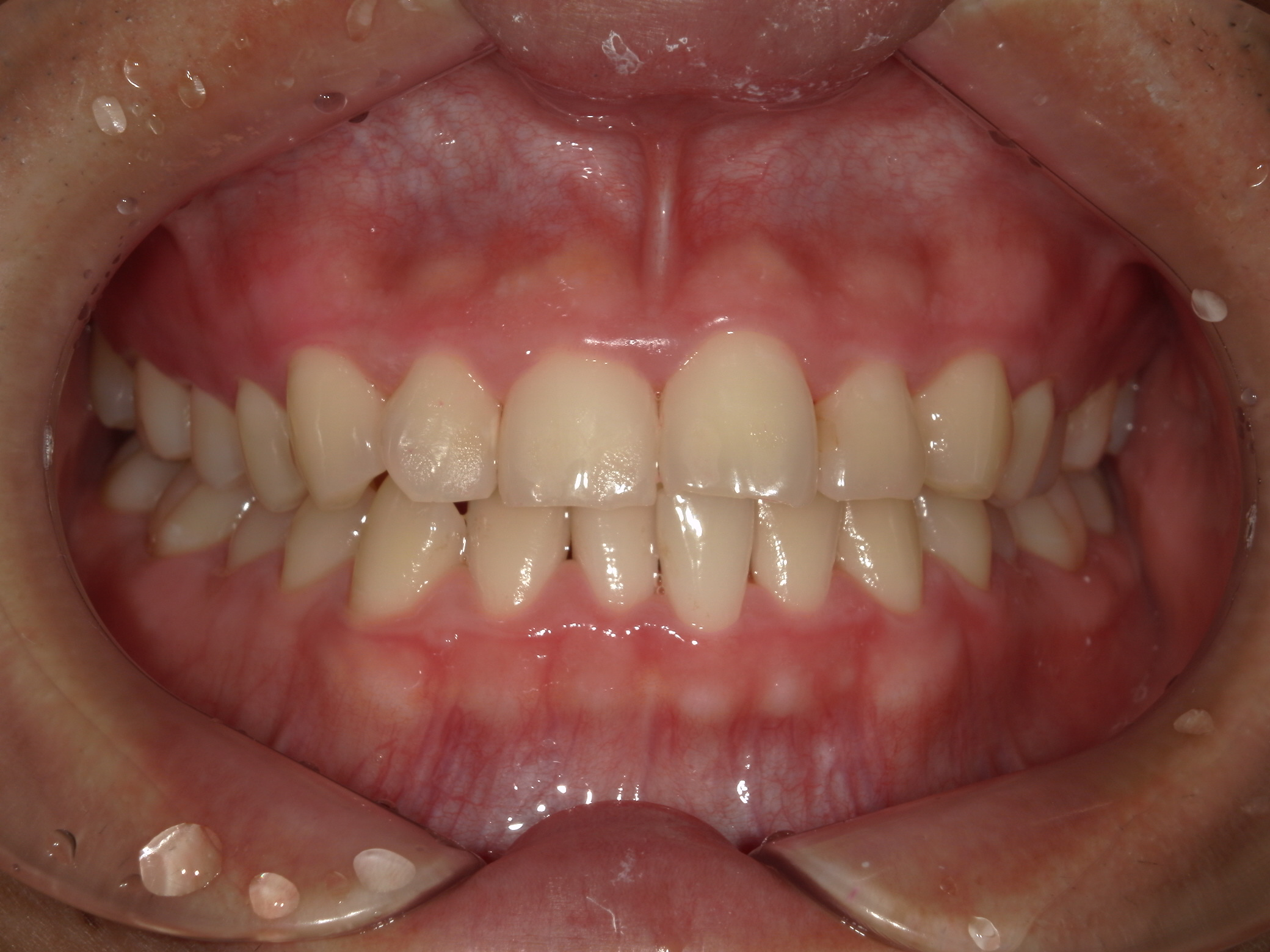
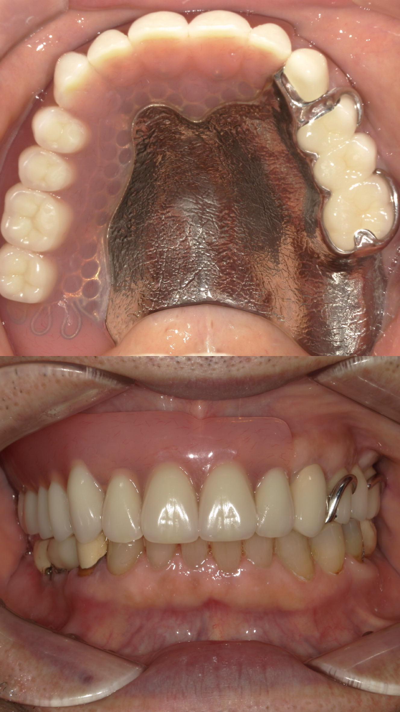
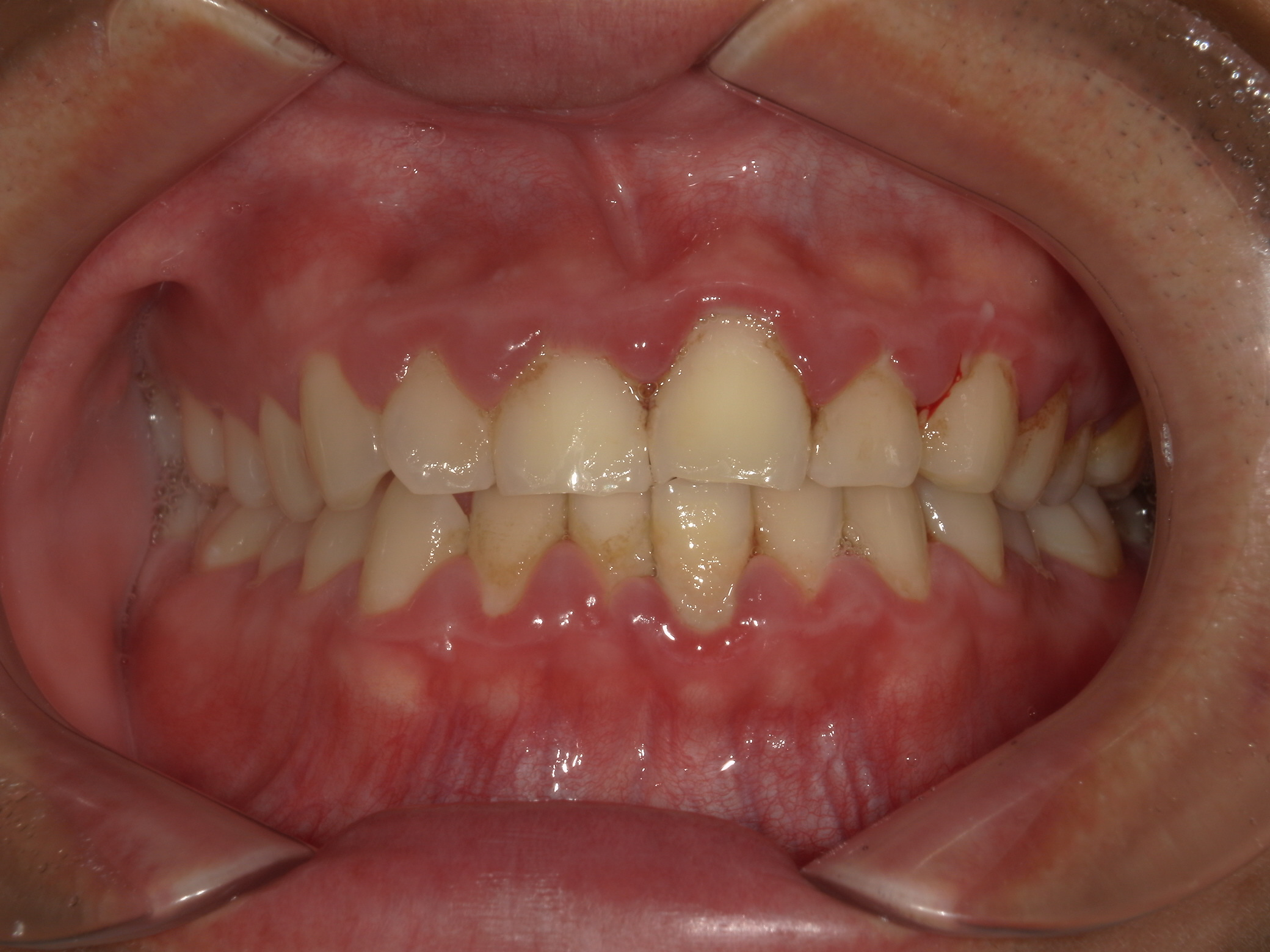
治療例
