歯肉炎と診断された後、歯科衛生士によるブラッシング指導や歯科医院のケアを受けたのちに
改善された歯肉と口腔内です。
| 主訴 | クリーニング希望 |
|---|---|
| 診断名/主な症状 | 歯肉炎 |
| 年齢 | 30代 |
| 治療内容 | (TBI)ブラッシング指導、PMTC(歯面研磨)、スケーリングなど |
| 費用 | 保険適用に準ずる |
主なリスク・副作用・注意点
特になし


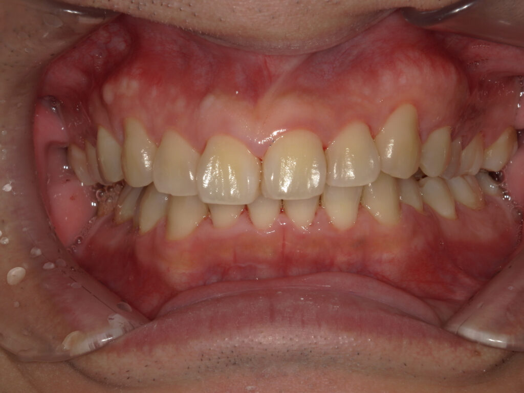
歯肉炎と診断された後、歯科衛生士によるブラッシング指導や歯科医院のケアを受けたのちに
改善された歯肉と口腔内です。
| 主訴 | クリーニング希望 |
|---|---|
| 診断名/主な症状 | 歯肉炎 |
| 年齢 | 30代 |
| 治療内容 | (TBI)ブラッシング指導、PMTC(歯面研磨)、スケーリングなど |
| 費用 | 保険適用に準ずる |
特になし