CASE

症例集

  • HOME
  • 症例集
  • クリーニング後の歯肉改善の患者様の口腔内

Warning: Undefined variable $add_args in /home/dentalweb/kichijoji-first-dental.com/public_html/content/wp-content/themes/kichijoji_temp/taxonomy-case_cat.php on line 93
  • クリーニング後の歯肉改善の患者様の口腔内

    歯肉炎と診断された後、歯科衛生士によるブラッシング指導や歯科医院のケアを受けたのちに 改善された歯肉と口腔内です。

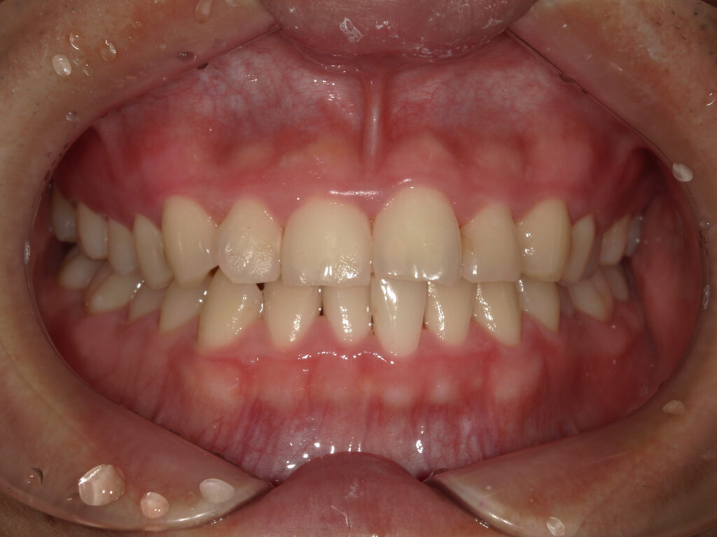
  • クリーニング後の歯肉炎改善の患者様の口腔内

    歯肉炎と診断された後、歯科衛生士によるブラッシング指導や歯科医院のケアを受けたのちに 改善された歯肉と口腔内です。